Tenang, semua masalah diatas bisa tuntas dengan perawatan scaling gigi. Scaling merupakan prosedur pembersihan gigi yang dilakukan untuk membersihkan karang gigi dan plak gigi yang menumpuk di permukaan gigi dan sela-sela gigi.
Untuk dapat memiliki gigi yang bersih, sehat, kuat, & terhindar dari gigi berlubang, disarankan untuk melakukan perawatan scaling setiap 6 bulan sekali. Jika tidak, dapat menyebabkan berbagai masalah gigi dan mulut. Bahkan, jika dibiarkan terus menerus, dapat menyebabkan penyakit jantung & stroke loh.
Jangan ditunda lagi! Mumpung ada promo scaling gigi murah cuma 300 ribu sudah all in tanpa biaya tambahan lain. Yuk… Reservasi sekarang dan dapatkan promonya!
Jangan sampai hal ini terjadi pada kamu karena terus membiarkan plak dan karang gigi menumpuk, sehingga menimbulkan resiko yang mungkin akan terjadi jika gigi tidak pernah dilakukan perawatan pembersihan karang gigi, seperti:
Scaling merupakan perawatan gigi dasar dengan segudang manfaat. Tidak hanya membuat gigi menjadi lebih sehat, tapi juga bisa mendeteksi bilamana ada kerusakan gigi. Berikut adalah manfaat yang akan kamu dapatkan jika melakukan scaling, seperti:
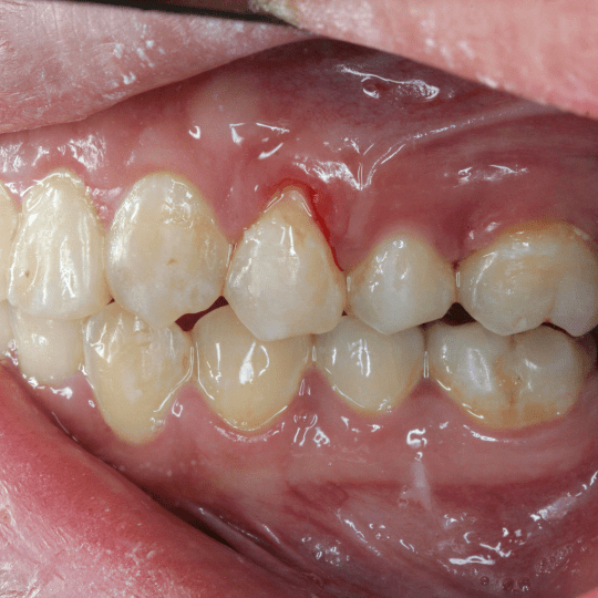
Perawatan untuk bersihkan karang gigi sangat dibutuhkan bila kamu memiliki salah satu gejala seperti:
Dara kasih bukti foto sebelum dan sesudah perawatan scaling gigi di dari hati dental clinic, agar kamu bisa bedain kalau scaling itu bisa menghilangkan karang gigi dengan cepat dalam waktu kurang dari satu jam.
Untuk Kamu yang berada disekitar dari hati dental clinic cabang Sawangan ada spesial promo scaling gigi murah hanya dengan 150 ribu aja sudah all in. Harga transparan tanpa biaya tambahan. Kapan lagi perawatan gigi tanpa biaya tambahan? Yuk, Reservasi sekarang!
Saat ini, sedang ada promo grand opening DHDC Cawang memberikan promo scaling gigi hanya dengan 200 ribu aja sudah all in. Harga transparan tanpa biaya tambahan. Kapan lagi perawatan gigi tanpa biaya tambahan? Yuk, Reservasi sekarang!
Dari Hati Dental Clinic memberikan layanan perawatan gigi berkualitas dengan harga terjangkau dan transparan. Kami selalu berkomitmen untuk memberikan hasil yang terbaik dengan melayani sepenuh hati.
Diposting di Nur HannaTrustindex memverifikasi bahwa sumber asli ulasan adalah Google. Ini pertama kali saya ke dokter gigi dan memilih DHDC Semanggi. Awalnya saya datang untuk tambal gigi, lalu dilakukan tindakan rontgen terlebih dahulu untuk memastikan apakah gigi bisa ditambal atau perlu tindakan lain Setelah konsultasi dan anjuran dari dokter, akhirnya saya melakukan tambal, pencabutan, dan scaling. Pelayanan di DHDC sangat ramah dan profesional, semua tindakan dijelaskan dengan baik dan harga juga disampaikan secara transparan sebelum tindakan dilakukan. Untuk hasil rontgennya dikirim melalui WhatsApp, mungkin butuh waktu sedikit lebih lama.Diposting di Justisia SabaroedinTrustindex memverifikasi bahwa sumber asli ulasan adalah Google. Scaling gigi di sini dapat harga promo yg cukup reasonable. Pelayanan cepat tapi teliti. Ada kamera gigi untuk memudahkan pasien melihat gigi yg bermasalah. Penjelasan dokter pun cukup jelas dan mudah dimengerti.Diposting di Wurisan WRTrustindex memverifikasi bahwa sumber asli ulasan adalah Google. Pertama kali scaling disini sama dokter Christoper, amazed banget ga sakit. Sampai ga percaya saat scalingnya sudah selesai, dan hasilnya juga bersih banget. Dulu2 didokter lain selalu ngilu dan sakit jujur jadi agak trauma tiap scaling. Very well reccomendedDiposting di diana lestariTrustindex memverifikasi bahwa sumber asli ulasan adalah Google. dokternya baik banget, komunikatif dan cara scallingnya jg ga berasa pokonyaa oke bangettDiposting di Ireine PutriTrustindex memverifikasi bahwa sumber asli ulasan adalah Google. Bagus banget pelayananya, perawat dan drnya baik dan friendly ✌🏻🤩
Nah, jika kamu punya rencana untuk scaling gigi, kamu bisa mengunjungi salah satu klinik dokter gigi terbaik di Jabodetabek, yaitu dari hati dental clinic. Berikut beberapa cabang klinik gigi yang bisa kamu pilih:
Jika saat ini kamu sedang mencari rekomendasi klinik dokter gigi terbaik untuk scaling gigi di Jakarta, kami merekomendasi untuk memilih dari hati dental clinic. Terdapat 3 cabang klinik gigi yang dapat kamu pilih, yaitu cabang Cawang, Fatmawati, dan Semanggi. Pilihlah lokasi klinik scaling gigi terdekat dari rumah kamu di Jakarta.
Lalu, jika kamu sedang berada di wilayah Tangerang dan mencari klinik dokter gigi terbaik untuk scaling gigi di Tangerang, kamu bisa datang langsung ke dari hati dental clinic cabang Ciledug. Klinik gigi ini merupakan salah satu rekomendasi tempat scaling gigi terdekat di Tangerang.
Sementara, jika kamu tinggal di sekitar Sawangan dan ingin mencari rekomendasi klinik dokter gigi terbaik untuk scaling gigi di Depok, kamu bisa pilih dari hati dental clinic cabang Sawangan. Klinik ini merupakan salah satu tempat scaling gigi terdekat di Depok.
Saat ini, harga scaling gigi di klinik gigi dari hati dental clinic hanya 300.000 ribu nett. Tidak usah khawatir soal biaya pembersihan karang gigi karena klinik gigi dari hati dental clinic sering memberikan promo menarik dengan harga terbaik untuk bersihin karang gigi. Ditambah, harga membersihkan karang gigi yang terjangkau dan sudah all in tanpa ada lagi biaya tambahan lain.
Jadi, tidak ada kata ragu dan menunda untuk perawatan gigi karena takut biayanya mahal. Semua perawatan gigi sudah gratis konsultasi, tanpa biaya admin, dan tanpa biaya tambahan lain. Harga perawatan gigi yang terjangkau dan transparan. Yuk… Chat Dara via whatsApp sekarang! dan dapatkan promo bersihkan karang gigi.